- Hoy:
- Partidos de hoy
- Sporting Cristal vs U Católica
- Barcelona vs Real Oviedo
- Boca Juniors vs Riestra
- Bolivia vs México
- Universitario
- Alianza Lima
- Liga 1 2026
- Liga Peruana de Vóley
El increíble nacimiento de un bebé con una cola de 6 centímetros que impresionó al mundo
El nacimiento de una bebé en México dejó sin palabras a los doctores: la recién nacida tendría una extremidad extra al final de su coxis.

El asombroso caso de una infante recién nacida se reportó desde Nuevo León, en México. Una bebé nació con una cola de 5,7 centímetros, pese a tener dos padres sanos e incluso tener hermanos mayores sin ningún tipo de complicaciones ¿Qué se sabe de este parto? La noticia resonó en todo el mundo y se difundirían más sucesos parecidos.
El hecho se dio a conocer por el Journal of Pediatric Surgery Case Reports y el médico encargado del parto fue el Dr. Josué Rueda. Según la información, la extraña extremidad o 'la cola del bebe' podía moverse y no le causaba ninguna molestia aparente; así mismo, parte de la misma tendría conexiones nerviosas, al recibir estímulos del exterior como el de un 'pinchaso'.
Bebé nace con cola en México y el caso se vuelve controversial
El caso de la bebé con cola en México se hizo viral rápidamente por su peculiaridad. Se sabe, la extremidad de la pequeña fue visible solo al salir del vientre de su madre: tiene de 5,7 centímetros de largo y entre 3 y 5 milímetros de diámetro.

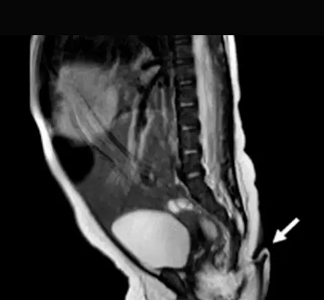
Radiografías a la pequeña bebé con una extremidad en forma de 'cola' / Foto: Journal of Pediatric Surgery Case Reports
A través del informe, el parto habría procedido por una cesárea en un hospital rural, sin embargo, se habría dado con total normalidad. Luego, las radiografías posteriores mostraron con exactitud la extremidad 'extra' de la pequeña
Por otro lado, los exámenes descartaron irregularidades o estructuras óseas dentro de la cola, así también, a través de resonancias magnéticas se rechazó la posibildiad de una anormalidad cerebral.
Se sabe que 'la cola de la bebé' tenía carne con tejido blando, arterias, venas y terminaciones de nerviosas. Tras el seguimiento a la recién nacida, los médicos optaron por la cirugía, dado que esta extremidad creció un 0.8 centímetros.
Es así que la cola fue retirada en cirugía sin dejar secuela alguna en la infante. Previamente, se decartó cualquier tipo de irregularidad con el sistmea nervioso. Según el Journal of Pediatric Surgery Case Reports, la pequeña (no identificada) fue dada de alta y que no se registraron complicaciones en su seguimiento.
Notas Recomendadas
Ofertas

Perulandia
PERULANDIA: FULL DAY + Piscinas + S/. 35 o S/.40 de VALE DE CONSUMO + Perusaurus y más. Según elijas
PRECIO
S/ 59.90
Cinemark
CINEMARK: Entrada 2D - opción a combo (Validación ONLINE o mostrando tu celular)
PRECIO
S/ 10.90
Cineplanet
CINEPLANET: 2 entradas 2D + 2 bebidas grandes + Pop corn gigante. Lunes a Domingo
PRECIO
S/ 47.90










